Masterclass
Dominio de los tejidos periimplantares
Del Defecto Óseo a la Estética Alrededor de Implantes
Mayo 21 y 22, 2026
Tennis Golf Club, Cúcuta
Comparte este evento
En la implantología de alta exigencia, el éxito ya no se mide por la osteointegración del implante, sino por la estabilidad biológica del entorno que lo rodea. Esta Masterclass ha sido diseñada para el clínico que busca ir más allá de un procedimiento estándar y alcanzar la maestría en la toma de decisiones, integrando en un solo protocolo el manejo crítico de los defectos óseos y la arquitectura avanzada del tejido blando.
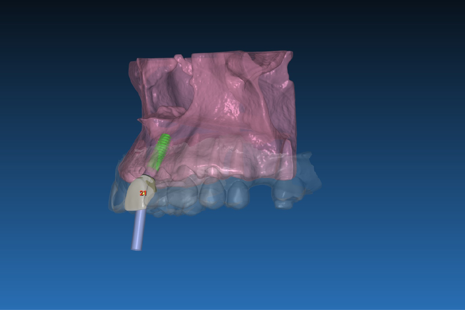
A través de un enfoque basado en la predictibilidad, aprenderás a diagnosticar con rigor científico, seleccionando biomateriales con criterio estratégico y ejecutando técnicas microquirúrgicas. Esto garantiza que cada fase desde la planificación digital en el Software RealGUIDE hasta el sellado biológico final trabaje en función de una estética funcional y duradera.
No es solo un entrenamiento técnico; es la hoja de ruta definitiva para dominar la complejidad y elevar el estándar de éxito en tu práctica quirúrgica.
Dr. Yamil Lesmes
Especialista en Periodoncia de la Universidad Javeriana y Magíster en Ciencias Odontológicas de la Universidad El Bosque.
Referente nacional con 30 años de experiencia en reconstrucción ósea, implantología oral y microscopía.
Actualmente es docente en clínicas de posgrado, liderando la formación avanzada en planificación digital y cirugía guiada.
Instagram: @dr.yamillesmes
Dr. Miguelángel Coccaro
Especialista en Periodoncia y Medicina Oral y Magíster en Ciencias Odontológicas de la Universidad El Bosque.
Docente de posgrado en clínicas de las Universidades Javeriana y El Bosque.
Cuenta con una práctica privada enfocada en cirugía mucogingival, regeneración ósea y manejo de tejidos blandos.
Instagram: @periobogota
Programación
Día 1 - Jueves, 21 de Mayo
8:00am a 10:30am
Análisis de Defectos y Escenarios Clínicos
• Clasificación Tridimensional
• Anatomía Aplicada: El Tejido Óseo Como Soporte Vital del Implante
10:30am a 10:45am
Coffe Break
10:45am a 12:30pm
Biología, Biomateriales y Toma de Decisiónes
• Selección Estratégica de Sustitutos Óseos y Membranas
• Algoritmos de Decisión: Implante Inmediato vs. Carga Inmediata
12:30pm a 2:00pm
Almuerzo Libre
2:00pm a 5:00pm
Hands-On Workshop: Regeneración Ósea Guiada: Técnica Lasso
• Inmovilización del Injerto Óseo y Fijación de Membrana
• Manejo de Incisiones Relajantes y Movilización de Colgajos para un Cierre Primario Libre de Tensión
Día 2 - Viernes, 22 de Mayo
8:00am – 10:30am
Segunda Fase: Biología del Fenotipo y Sellado Biológico
• Análisis de Volumen y Aumento de Encía Queratinizada
• Modificación de Fenotipos
• Técnicas Quirúrgicas y Microquirúrgicas para una Interfase Estable
10:30am – 10:45pm
Coffe Break
10:45pm – 12:30pm
Diagnóstico, Planificación y Flujo de Trabajo Digital
• Optimización de Datos y Protocolos de Escaneo
• Planificación del Caso en Vivo Con el Software RealGUIDE™
• Integración del Flujo Digital Para la Predictibilidad del Caso
12:30pm – 2:00pm
Almuerzo Libre
2:00pm – 5:00pm
Hands-On Workshop Manejo de Perfiles de Emergencia Alrededor de Implantes
• Aplicación de Técnicas de Manejo de Tejido Blando Integrando La Planificación Digital
5:00pm – 5:15pm
Cierre de La Sesión y Entrega de Certificados
Información
- Fecha - 21 y 22 de Mayo, 2026
- Lugar - Tennis Golf Club, Salón Cúcuta 1 | Cúcuta Nte. de Santander
- Horario - 8:00am a 5:00pm
- Inversión
