Curso Práctico
EL ARTE DEL PERFIL DE EMERGENCIA
alrededor de implantes
Biología, Función y Estética
Mayo 15 y 16, 2026
Universidad Autónoma de Manizales
Comparte este evento
Este programa ha sido diseñado para cirujanos, rehabilitadores y técnicos dentales que buscan unificar el lenguaje técnico-biológico.
Es el espacio ideal para quienes desean optimizar la arquitectura del tejido blando y la precisión del diseño digital bajo una visión compartida. Nuestro enfoque elimina barreras de comunicación para garantizar la predictibilidad, eficiencia y excelencia estética que define a la odontología de alto nivel.
Dra. Laura Solano
Odontóloga de la Universidad El Bosque y Especialista en Rehabilitación Oral de la Pontificia Universidad Javeriana.
Guiada por la búsqueda de la excelencia clínica, ha desarrollado un enfoque profesional que integra la prostodoncia y la periodoncia.
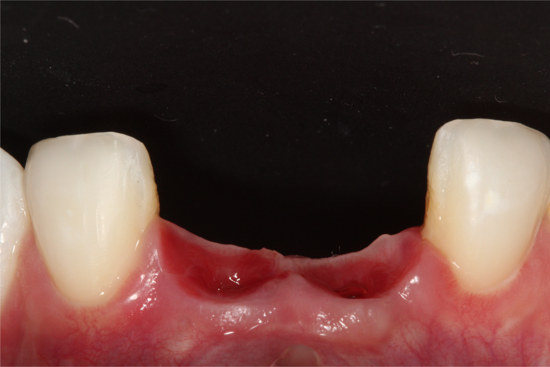
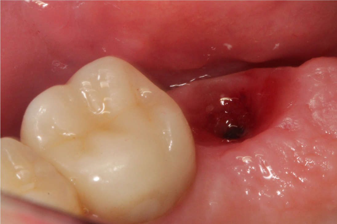
Su práctica se basa firmemente en la evidencia científica, priorizando la conformación y salud de los tejidos blandos como el pilar fundamental para el éxito y la estética a largo plazo en la rehabilitación sobre implantes.
Instagram: @dra.laurasolanos
TPD. Santiago Barrera
Técnico Dental especializado en tecnología CAD/CAM y flujos digitales integrales. Cuenta con amplia experiencia en el manejo de softwares líderes como Exocad, 3Shape y RealGUIDE, abarcando desde la digitalización hasta el acompañamiento técnico profesional.
Actualmente se desempeña como especialista en diseño digital. Utiliza herramientas de vanguardia para optimizar la eficiencia y la predictibilidad en el laboratorio dental.
Programación
Día 1 - Viernes, 15 de Mayo
8:00am a 9:30am
La Biología como Fundamento: Visión Perio-Prostodóntica de la Estabilidad
Dra. Laura Solano
9:30am a 9:45am
Coffe Break
9:45am a 11:00am
Zona EBC: Protocolos Clínicos para el Dominio del Contorno Biológico Estético
Dra. Laura Solano
11:00am a 12:30pm
Del Diagnóstico a la Evidencia: Resolución de Casos Clínicos y Seleccion de Componentes Protésicos
Dra. Laura Solano
12:30pm a 2:00pm
Almuerzo libre
2:00pm – 5:00pm
Integración digital: optimización de datos, protocolos de escaneo y diseño CAD
TPD. Santiago Barrera
Día 2 - Sábado, 16 de Mayo
8:00am – 11:45am
Hands On: Optimización de Componentes y Estrategias de Cementación en Sector Anterior y Posterior
Dra. Laura Solano y TPD. Santiago Barrera
11:45am – 12:00pm
Preguntas y entrega de certificados
Información
- Fecha - 15 y 16 de Mayo, 2026
- Lugar - Universidad Autónoma de Manizales | Cra. 19a #43a - 50, Manizales.
- Horario - Viernes 8:00am a 5:00pm | Sábado 8:00am a 12:00pm
- Inversión
Duo
(Clínico + Técnico Dental)-
Inscripción
-
Materiales
-
1 Modelo para llevar
-
Certificado
