Enero 11 – 24 | 2021
B.O.P.T inLAB
En versión original de la mano de uno de los creadores de la técnica
Dirigido a: Estudiantes, Odontólogos de todas las especialidades y Técnicos Dentales
Precio: 170 €
Si eres estudiante, recibe un descuento en la inscripción
El curso comienza en:
Expertos

CDT. Antonello Di Felice
Italia
- Protésico graduado en el Instituto G. Eastman de Roma.
- Desde 1980 hasta 1984 colabora en el laboratorio del Profesor M. Martignoni bajo la guía de A. Schonenberger.
- Desde 1986 hasta el 1989 colabora en el laboratorio Schonenberger Dentaltechnik de Zúrich.
- Desde 1989 es titular del laboratorio Tecnologia Dentale Italia de Roma.
- Coautor junto al Dr. Ignacio Loi de la tecnica B.O.P.T
- Autor de varias publicaciones.

Dr. Vincenzo Giovane
Italia
- Licenciado on Odontología (Universidad Europea de Madrid).
Especialista en «Odontología Restauradora basada en las nuevas tecnologías» (Universidad Complutense de Madrid).
Profesor Colaborador Universidad Complutense de Madrid,» Máster en Odontología Restauradora basada en las nuevas tecnologías”.
Co-Director Título Propio «Estratificación con composites en dientes anteriores», Cremades & Giovane Education (Composite Independent S.L. Madrid).
Fellow Magister en «Prótesis Bucofacial y Oclusión» 2012-2014 (Universidad Complutense de Madrid).
Fundador y Director Clínico de “Giovane Odontoiatria” Italia.
Responsable Área Estética y Rehabilitación Oral “Ivan Malagon Clinic” en Madrid.
Formación Continuada Internacional en Estética Dental y Adhesión.
Práctica Privada exclusiva en Estética Dental y Rehabilitación Oral en Italia, Madrid y París.

Dr. Cristian Abad Coronel
Ecuador
- Director del Programa de Educación Continua en la Universidad Estatal de Cuenca en Ecuador.
Docente colaborador en la Universidad Complutense de Madrid.
Máster en Ciencias Odontológicas por la Universidad Complutense de Madrid.
Máster en Odontología Restauradora basada en nuevas tecnologías. Universidad Complutense de Madrid.
Doctor en Ciencias Odontológicas por la Universidad Complutense de Madrid.
Especialista en Rehabilitación Oral por la Universidad de Chile.
Diplomado en Investigación Clínica por la Universidad de Harvard.
Curso completo sobre BOPT con el Dr. Ignazio Loi en Cagliari, Italia
Ganador de diversos premios científicos.
Numerosos artículos publicados en las más reconocidas revistas científicas del sector y es conferencista habitual en seminarios a nivel internacional.
A TU RITMO CON CLASES EN DIRECTO
Módulos
MÓDULO 1
- Introducción a la técnica original.
- Fundamentación.
- Evidencia científica.
MÓDULO 2
- Indicaciones y contraindicaciones.
- Planificación del tratamiento.
- Secuencia clínica: primera parte. Instrumental y protocolo.
MÓDULO 3
- Revisión crítica de la relación entre restauración y periodonto. Las preparaciones dentales tipo “Feather edge”.
- El provisional B.O.P.T: protocolo tradicional vs digital.
- Provisionalización secuencia clínica.
MÓDULO 4
- Manejo del modelo máster.
- TRIMMING VS DITCHING: el concepto del área de terminación.
- Análisis y soluciones a problemas de paralelismo, socavados y escalones en la preparación vertical.
MÓDULO 5
- Diseño de la estructura: metal-cerámica vs zirconio-cerámica.
- El acoplamiento “cónico”, el espaciado analógico y digital.
MÓDULO 6
- Técnica de Estratificación de la cerámica: color y translucidez.
- La 4ª dimensión de la morfología dental.
- Modulación del nuevo perfil de adaptación protésico.
MÓDULO 7
- Secuencia clínica segunda parte.
- Desde el laboratorio hasta la clínica. Pruebas clínicas. Integración prosto periodontal. Cementación.
MÓDULO 8
- Presentación de casos clínicos y discusión.
TRANSMISIONES EN VIVO: REVISIÓN DE CASOS CLÍNICOS, PREGUNTAS Y RESPUESTAS
Los días 16 y 23 de Enero a las 2:00pm (COL)
Certificación por: Inspiria International Institute
Descripción
- Curso EXCLUSIVO sobre B.O.P.T con contenido grabado y Directos con el CREADOR DE LA TÉCNICA Antonello Di Felice, para que puedas interactuar con él.
- Los sábados 16 y 23 de enero de 2:00pm a 4:30pm (Colombia). disfrutarás de los dos directos con Antonello Di Felice, Cristian Abad y Vincenzo Giovane. No te lo pierdas.
- El contenido de los directos quedará grabado a disposición de los alumnos.
Objetivos
- Introducir al alumno a los principios de la B.O.P.T.
- Capacitar al alumno en el manejo integral de la técnica entre clínica y laboratorio.
- Instruir sobre el paso a paso de la técnica B.O.P.T y su secuencia clínica.
- Enseñar el paso a paso de la técnica B.O.P.T y su secuencia de laboratorio entendida desde su visión original.
- Satisfacer inquietudes puntuales de la B.O.P.T.
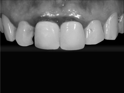
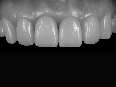
- Mostrar evidencia clínica de la B.O.P.T.
Precio: 170 €
Si eres estudiante, recibe un descuento en la inscripción